
Se produce un accidente de tráfico, por impacto lateral sobre el lado derecho de un vehículo utilitario (Seat Ibiza), que circula a velocidad reducida ‑ unos 30 kms/h ‑ por parte de un camión que circula a una velocidad de unos 80 km/hora. La ocupante del asiento trasero izquierdo, mujer de 30 años, que hace uso del cinturón de seguridad, con tres puntos de fijación, se encuentra fallecida a la llegada de los servicios médicos de urgencia. En la autopsia realizada, en la exploración externa del cadáver, se encuentran hematomas en zona abdominal inferior y en hombro izquierdo, compatible con lesiones por cinturón de seguridad, y hematomas en miembros inferiores. En la apertura de cavidades, se encuentra en la cavidad torácica rotura de la 5ª costilla izquierda, pulmones exangües y hemotórax masivo derecho...

TRAUMATISMO CARDIACO CERRADO:
RESUMEN Se revisa el traumatismo cardíaco cerrado, en lo que se refiere a los mecanismos lesivos, la frecuencia de afectación de diferentes estructuras cardíacas, (válvulas y aparato subvalvular, vasos coronarios, rotura de pared libre y de pericardio, rotura de grandes vasos intrapericárdicos), y su asociación a otras lesiones.

Se trata de una mujer de 44 años, ocupante del asiento delantero derecho de un turismo BMW modelo 320, que sufre accidente de tráfico por la noche, (salida de vía con choque frontal derecho contra barrera bionda de protección de la carretera). El automóvil presentaba daños en su parte frontal derecha. La conductora del turismo (mujer de 22 años), quien también utilizaba cinturón de seguridad, no sufrió lesiones. La lesionada viajaba con cinturón de seguridad y se activaron los dos airbags delanteros (de conductora y de acompañante) y el airbag lateral derecho; esta ocupante viajaba con su asiento en posición adelantada. Tras el accidente sufrió traumatismo facial con estallido ocular derecho, fractura amplia de suelo orbitario derecho, heridas en la cara y laceración de pabellón auricular derecho, (helix).

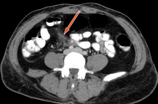
Se presenta un caso de lesión mesentérica en el contexto del "síndrome de cinturón de seguridad". en una acompañante delantera tras un choque frontal a alta velocidad, tratado conservadoramente. Se revisa la utilidad de la TC para el diagnóstico precoz de esta lesión, que debe sospecharse cuando está presente el signo del cinturón de seguridad en la pared tóracoabdominal.